Libérate de las Inseguridades con Nuestro Diseño de Sonrisa.
Diseña tu sonrisa perfecta y recupera tu confianza 😍
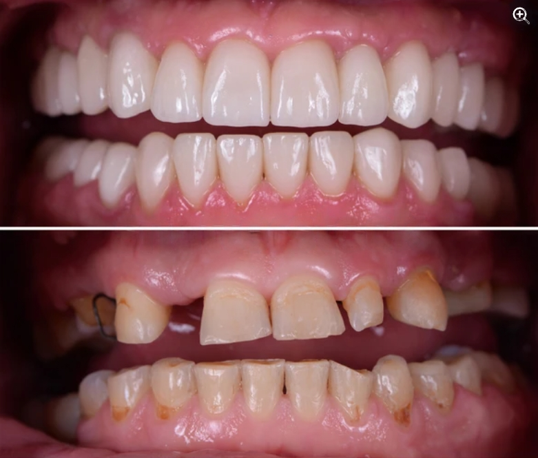
-1.png?width=2000&height=1996&name=Dise%C3%B1o%20sin%20t%C3%ADtulo%20(17)-1.png)
Te garantizamos:
1. Procedimientos sin dolor
2. Calidad superior en materiales
3. Proceso rápido y eficaz
4. Sonrisa personalizada
Diseño de Sonrisa

¿Cuánto demora el diseño de sonrisa?
¿Qué incluye adicional el diseño de sonrisa?
"Después de mi diseño de sonrisa, mis amigos no pueden dejar de admirar mi nueva sonrisa. El equipo fue profesional y el resultado, impecable. ¡Recomendado al 100%!"
Luis M.
"Elegí carillas de cerómero por su accesibilidad y el resultado fue excelente. El procedimiento fue rápido y sin dolor. ¡Estoy muy satisfecho!"
Carlos R.
"Mi experiencia con el diseño de sonrisa en cerámica fue increíble. No solo mejoró mi apariencia, sino también mi confianza. ¡Vale cada peso!"
Maria G.
"Estoy muy contento con mi tratamiento. La Dra Vanesa fue súper profesional y atenta desde el primer día. ¡Recomiendo totalmente!"
Samuel Ferrer
¿Quiénes somos?
Dr. Julián Rovira
Odontólogo del Colegio Odontológico Colombiano, especialista en periodoncia e implantología de la Universidad Metropolitana de Barranquilla. Posee un diplomado en Diseño de Sonrisa Italiana con el Dr. Daniel Zabaleta Díaz y una maestría en Implantología Oral y Prótesis Periimplantaria..
Dra. Vanessa Narváez
Odontóloga y especialista en periodoncia e implantología oral del Colegio Odontológico Colombiano. Diplomada en Diseño de Sonrisa y Perfilamiento Facial en la Universidad Del Valle. Es una profesional con gran calidad humana y pasión por su profesión.-1.png?width=1920&height=1080&name=Dise%C3%B1o%20sin%20t%C3%ADtulo%20(13)-1.png)
